Enamel Microabrasion on the Sunshine Coast

At Comfort Dental & Implant Centre we offer enamel microabrasion treatment. It is an ideal cosmetic dental procedure that whitens your teeth by removing stains on your tooth enamel.
Microabrasion is a dental whitening procedure that uses a mixture of hydrochloric acid and pumice (an abrasive) to remove and eliminate stubborn and severe stains that are resistant to bleaching solution, in enamel.
Enamel microabrasion is a great way to enhance the appearance, beauty, and function of your teeth while avoiding the dentist’s drill.
Good Candidates for Microabrasion
Your dentist may recommend microabrasion if you have:
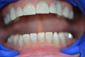
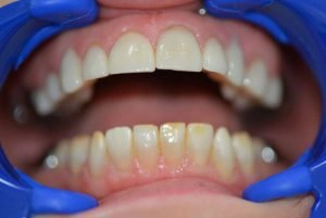
White stains due to decalcification – decalcification is the first stage of tooth decay caused by acid attacks that remove some of the tooth’s minerals.
White stains caused by wearing braces – the brackets in your braces can cause the tooth enamel to be unable to remineralise. Consequently, teeth can lose their minerals and turn chalky white.
Brown or stains that result from defective tooth formation – this is commonly caused by fluorosis and trauma. Fluorosis results from too much exposure to fluoride and leads to tooth defects. On the other hand, tooth trauma affects the formation of enamel.
Procedure
- The teeth are isolated with a rubber dam in order to protect the gums from the pumice materials and acid.
- The microabrasion material is gently rubbed on the surfaces of the tooth. Your dentist can do this process manually or by using a very slow speed rubber cup
- After removing a few layers of surface enamel, your dentist will rinse the mixture from the teeth and evaluate the results. Your dentist may need to repeatedly perform this process until the desired outcome is achieved.
- Once completed, the teeth are bathed in a fluoride gel to remove post-operative sensitivity. The rubber dam is removed as well.


Enamel Microabrasion at Comfort Dental & Implant Centre
If you have further questions about microabrasion, visit Comfort Dental & Implant Centre today to schedule a consultation. Your Buderim dentist will determine if you are a good candidate for the treatment. Call us on (07) 5370 8865 or book online today.
Related Posts
Recent Posts
- Childrens Dental Buderim: Maximise Your $1,158 CDBS Benefit These Easter Holidays
- The Sunshine Coast White Diet: A Guide to Professional Teeth Whitening Success
- The Art of the No-Drill Smile: A Guide to Hand-Sculpted Composite Resin Veneers in Buderim
- Invisalign Teeth Straightening: A Sunshine Coast Survival Guide to 22-Hour Wear
- Providers of Dental Implants Buderim Locals Trust: A Clinical Guide to Longevity and Safety